진료시간 : 월,화,수,금 10시-7시 / 토요일 9시-1시 / 목,일,공휴일 휴진 예약상담 : 02-576-1114
LDM 시술은 정석대로 12분을 연속으로 진행해야 피부 장벽 개선에 충분한 효과를 줍니다.
이 시간을 분할해 시술하게되면 효과와 유지력이 떨어집니다.
민앤정의원에서는 권장 프로토콜을 그대로 지켜 시술의 완성도를 높입니다.
기본에 충실한 관리가 건강한 피부를 만듭니다.
민앤정의원에서는 LDM 시술 시 주치의가 직접 피부 상태를 진단한 후,
가장 적합한 모드를 세심하게 설정합니다.
개인별 피부 고민에 맞춘 맞춤 시술로 효과를 극대화합니다.
피부는 다 다르기에, 섬세한 차이로 결과를 만듭니다.
민앤정의원은 1회용 해면을 사용하여 매번 위생적인 시술 환경을 유지합니다.
또한 피부 자극을 줄이기 위해 저자극성 LDM 전용 젤만을 사용합니다.
철저한 위생 관리로 안심하고 시술받을 수 있는 공간을 제공합니다.
민앤정의원은 다년간의 피부 진료 경험을 바탕으로,
개인의 피부 상태와 고민에 맞춘 맞춤형 LDM 시술을 진행합니다.
피부 깊이와 손상도에 따라 가장 효과적인 방식으로 설계해 더욱 확실한 변화를 이끕니다.
민앤정의원에서는 LDM 시술 시 회차별 효과를 평가하여,
치료 효과 및 피부 상태를 면밀히 점검하고
이를 바탕으로 치료 계획을 재조정하여 환자 맞춤형 치료를 제공합니다.
LDM은 초음파 진동을 이용해 피부 깊은 층까지 미세한 자극을 전달합니다.
이를 통해 피부 재생과 혈액 순환을 촉진하고, 탄력 개선과 부기 완화에 효과적입니다.
비침습적이고 통증이 거의 없어 편안한 시술이 가능하며,
다양한 피부 고민에 맞춘 맞춤 치료가 가능합니다.
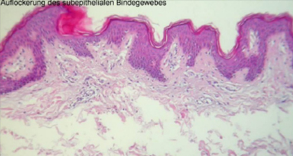
LDM은 고밀도 초음파로 피부 속 콜라겐 생성을 자극하여 피부 장벽의 재생능력을 끌어립니다.
외부의 자극이나 시술로 민감해진 피부를 진정시켜 주고 젊고 건강한 피부환경으로 만들어줍니다.
콜라겐 섬유가 얇고 늘어진 노화피부
조직이 탄탄해지고 배열된 피부
LDM Tri는 잔주름 및 울퉁불퉁한 피부를 매끄럽게 만들어주며
노화된 콜라겐을 분해하여 재생을 도와 피부 탄력에 도움을 줍니다.
또한 안티에이징 효과로 맑은 피부를 연출해줍니다.
약물이나 스킨부스터의 흡수력을 극대화하는
LDM 약물 침투를 활용
스킨부스터가 필요하지만
통증이 무서운 경우 LDM 커스터마이징
정밀한 피부 분석을 통해 현재 피부 상태를 객관적으로 확인합니다.
피부 타입, 민감도, 수분·유분 밸런스 등을 바탕으로 시술 방향을 설정합니다.
개인 상담을 통해 환자의 피부 고민과 원하는 관리 방향을 충분히 듣습니다.
환자와의 소통을 바탕으로 보다 만족도 높은 시술 환경을 제공합니다.
피부 분석과 니즈 파악을 바탕으로 맞춤형 LDM 시술이 진행됩니다.
재생 관리, 민감성 케어 등 다양한 피부 컨디션에 맞춰 구성이 가능합니다.
Q. LDM 시술 시간은 얼마나 걸리나요?
LDM 시술은 12분 정석 모드 기준으로 진행되며, 준비 및 마무리까지 포함해 약 40분~1시간 소요됩니다.
피부 상태나 시술 부위에 따라 소요 시간은 다소 달라질 수 있습니다.
보다 편안한 환경에서 시술받을 수 있도록 충분한 여유 시간을 가지고 내원하시는 것을 권장드립니다.
Q. LDM 시술은 얼마나 자주 받아야 하나요?
피부 상태에 따라 다르지만, 초기에는 주 1~2회 정도 꾸준히 받는 것을 추천합니다.
이후에는 피부 상태에 따라 주 1회 또는 월 1~2회 정도로 유지 관리가 가능합니다.
Q. 다른 피부 시술과 병행이 가능한가요?
네, 가능합니다. LDM은 피부 진정과 회복을 도와주기 때문에
레이저, 필링 등 자극이 있는 시술 후 병행하면 피부 회복을 빠르게 돕고 시술 효과를 높이는 데 도움이 됩니다.
시술 및 치료 후 출혈, 염증, 멍 등 일반적으로 발생할 수 있는 합병증은
개인에 따라서 정도의 차이가 있을 수도 있으므로 주의가 필요합니다.